Dr. Derek Conover is a leading cosmetic and restorative dentistry dentist in Philadelphia. He offers many restorative treatment options to treat damaged and lost teeth, including dental crowns and bridges. These options can improve your appearance and restore worn, broken, and missing teeth. We create custom crowns and dental bridge treatments in Philadelphia, PA.
Tooth crowns and bridges are two restorative dentistry treatments that address function and aesthetics after tooth damage or loss. Dr. Conover provides comprehensive care with extensive planning. He works with the leading U.S. dental laboratories to create natural-looking restorations.

What is a dental crown?
We place dental crowns (sometimes called caps) to protect teeth after decay, damage, a root canal, or as part of a dental implant. We can also use them to strengthen a damaged tooth with a crack, stains or discoloration, decay, or wear down from teeth grinding. Dentists make crowns from different materials, but the main three types include:
Metal
Metal crowns are made from strong metal alloys, mixtures of different metals. These alloys can include precious metals like gold or platinum or base metals like cobalt-chromium or nickel-chromium. Metal crowns are strong but more noticeable than other types of crowns.
Porcelain fused to metal
Porcelain-fused-to-metal (PFM) crowns combine metal and porcelain. They have a metal base and a porcelain outer layer. These crowns look strong but the porcelain part of the crown can wear down or chip. The metal underneath might become visible as a dark line near the gums.
Porcelain Ceramic
Different ceramic types’ scores vary in strength and translucency. A good restorative dentist will know which materials create the best esthetic and functional result for each patient’s smile and bite. Ceramic crowns are metal-free and are the gold standard for creating a beautiful and natural look. Ceramic crowns won’t discolor along the gum area like crowns that contain metal.
Placing a Dental Crown: What to Expect
Many patients avoid dentists because they fear dental treatment will be painful and complicated. However, placing dental crowns on teeth is actually quite simple when done with careful diagnosis and good planning.
Comprehensive Evaluation
The first step in creating crowns for teeth is a comprehensive evaluation with Dr. Conover. He will examine your teeth, gums, jaw joints, bite, and smile. Dr. Conover will look for signs of stress, disease or instability.
We will gain a clear picture of your situation using diagnostic x-rays, photos, and models of your mouth. From this data, we will determine what we need to address any health, functional, or esthetic concerns before and during treatment.
Treatment Planning
Dr. Conover believes the treatment plan is essential to cosmetic and restorative dentistry to ensure long-term success. The treatment plan is a set of blueprints to set the path for the restorative procedure. It may include digital imaging, 2-D, and 3-D models. We love to involve patients in this process.
Once we have created your personalized treatment plan, we create a custom sequence of treatment visits based on your preferences. We may have longer or shorter visits, more frequent or spread-out visits, and a timeline for completing treatment.
The goal is to achieve the optimal outcome as comfortably and efficiently as possible. Dentistry in our office is virtually pain-free, and we aim to make the experience as pleasant as possible.
Provisional Restoration
Once we finalize the treatment plan for crowns and bridges, Dr. Conover will create a provisional restoration. You will wear a temporary crown or bridge while we wait for the final dental restoration from the dental laboratory. The temporary will give you an opportunity to make sure you are happy with the look, feel, and function of the restoration. It will also provide temporary protection to the tooth.
Final Restoration
The final step in the process is the delivery of your crown or bridge. At this point, we place the final restoration. We assess the fit, function, and esthetics. Finally, we cement or bond the restoration in place.
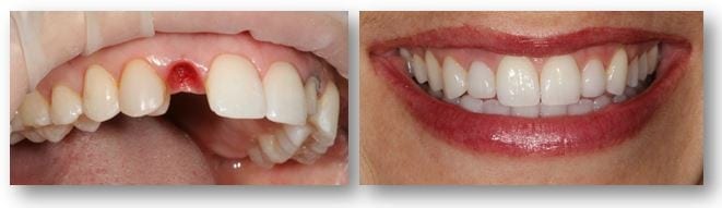
Dental Crowns: Before and After Photos






Dental Crown FAQs
Learn more about tooth crowns with answers to these common questions:
How long do they last?
Crowns are made from porcelain, ceramic, composite resins, or a combination. Porcelain is the strongest material. Composite resins are much cheaper than porcelain but not as strong or lasting. Based on how you care for your crowns and the type of crown, crowns can last anywhere from 10 to 15 years.
Do I need a dental crown?
You may need a crown if your tooth has severe damage. We recommend dental crowns if your tooth is broken or cracked, but not necessarily if there’s minor damage or decay. After an exam and diagnostics, we will recommend the most appropriate treatment option for your needs.
Can I get them done if my teeth are healthy?
Yes. You can get your crowns done even if your teeth are healthy. However, we recommend getting them done before any decay occurs. If you wait until after the damage is done, it may be harder to save the tooth.
What is a dental bridge?
A dental bridge is a way to replace lost teeth or support weaker teeth. The bridge fills the gap left by one or more missing teeth to restore your smile and improve your ability to chew and speak. A traditional bridge uses the support of crowns on either side of a missing tooth gap. However, many people benefit from the support of dental implants.
Types of Bridgework
Common types of dental bridges can include:
Removable Dental Bridge
We generally reserve these as a temporary or interim solution for missing teeth. You can get a flipper tooth for a flexible partial. The cost may be much less than a fixed dental bridge, but a removable dental bridge does not offer good long-term benefits.
Fixed Dental Bridge
In this type of restoration, we link one or more prosthetic teeth together and support them with dental crowns that cover the teeth on either side of the gap. But his type of bridge requires a significant reduction of adjacent teeth to ensure a solid foundation for the dental bridge.

Implant-Supported Restorations
Dental implants and implant-supported bridges can replace a missing tooth or multiple missing teeth. Implants offer the most stable and naturally functioning results and key long-term oral health and wellness benefits. A dental implant is a titanium post that replaces a tooth at the root. Many patients prefer implant bridges because they do not need tooth preparation and can last longer than traditional bridges.

Dental Bridge vs. Dental Implant
Implant-supported restorations are a great alternative to a fixed dental bridge for replacing missing teeth. For a single missing tooth, an implant crown is a single-tooth solution for a single-tooth problem. Unlike conventional bridges, we don’t have to file down the adjacent teeth to attach crowns.

An implant-supported bridge is also an option for multiple missing teeth. In this case, we support the bridge with dental implants rather than natural teeth. Again, this option preserves the healthy adjacent natural teeth. It also provides a more stable restoration that will last longer.
Dr. Conover will consider several things when he recommends a dental bridge over a dental implant. First, she’ll assess the health of your surrounding teeth and bone structure.
You must have a solid foundation for successful dental implants. Cost is sometimes a factor for patients with lost teeth. While dental implants can cost more than a dental bridge, they offer better long-term results and require less repair and maintenance.
Dental Bridge FAQs
Learn more about dental bridge treatment in Philadelphia, PA, with answers to these common questions:
How do I know if my teeth need a bridge?
If you’ve lost several teeth due to decay or trauma, you should consider a dental bridge. You may need a partial denture instead if you have missing teeth in different parts of the mouth. Our office will also recommend a single implant capped with a crown if you have a missing tooth.
Do I need a full set of replacement teeth before getting a dental bridge?
No, you don’t need a full set of replacement dentures before you get a dental bridge. You only need to replace a few teeth at once.
How long do I have to wait before I get my dental bridge?
You can get a temporary bridge right after our dentist removes the damaged teeth. You’ll wear the immediate bridge until your new one arrives. We recommend that you wait to get a removable or implant bridge to help your gums heal.
Will my dentist remove my teeth first?
No. Our dentist will ensure your teeth are healthy enough to support the dental bridge. We often recommend replacing them with implants if they aren’t strong enough.
How much is a dental bridge?
The cost of a bridge depends on these factors:
- Type of bridge
- Materials
- Sedation
- Pretreatments (tooth extraction, gum disease treatment)
A traditional fixed bridge costs less than an implant bridge. If you need to treat gum disease or tooth decay, those treatments will factor into your total cost.
After a consultation, our office will estimate your bridge cost and help you get an affordable dental bridge. Our office accepts CareCredit and LendingClub.
Call For Dental Care Today
Do you have damaged or missing teeth? Get a crown or dental bridge in Philadelphia, PA, today. Call (215) 395-6076 or schedule an appointment with Dr. Conover online.
Let us know if you have questions for us. We’ll be happy to help you.



