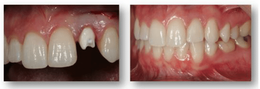
If you are confused about the dental implant process, trust me, you are not alone. We hear from patients all the time who, when considering their options for replacing a missing tooth, may have heard of dental implants, but don’t really know what they are all about or what makes one implant solution better than another.
When we refer to a “dental implant” we are actually talking about three different components that make up the entire implant restoration:

- The implant itself: The implant is a titanium root replacement for a missing tooth. This is the foundation which supports the overlying structure.
- The crown: This is the actual tooth-like structure that you see above the gum.
- The abutment: The abutment is the connecting element. It is attached to the implant and it supports the overlying crown. It connects the “root”, which is the implant, to the “tooth” which is the crown.Dental implants have been the gold standard to a replace a missing tooth for decades now.Yet for many people, the implant restoration process remains a mystery. Especially this “abutment” part we mentioned. Patients might understand that an implant replaces the root under the gum and that the crown is the thing that actually looks like a tooth.But what is an abutment and why is it important?The fact is not all abutments and crowns are created equal. Typically, following the placement of a dental implant, patients must return to their restorative dentist to have the final abutment and crown made. The type and shape of the abutment and crown are critical factors to achieving a successful restoration that is long lasting, looks great and functions like a natural tooth. But far too often, poor abutment and crown designs lead to compromised results and unhappy patients. For best results, make sure your restorative dentist uses a customized abutment for your dental implant. Let’s first review some basics:

There are two types of abutments: Custom and stock (pre-fabricated)
- Custom abutments are designed by the dentist and made by a dental laboratory. The restorative dentist captures the position of the implant and the shape of the surrounding teeth and gum tissue by taking an impression or scan. The laboratory then fabricates an abutment that both fit on the implant as well as shapes and supports the gum tissue like a natural tooth would.
- Stock abutments are manufactured by dental implant companies. Although such pre-fabricated abutments fit well into the implant, they rarely offer optimum shape and form in the mouth. Thus the aesthetics and function of the final crown are often compromised. The result can be a crown that looks unnatural or doesn’t function as well as it should.
What should you do as a patient before getting an implant?
Choose your dentist carefully. An implant restoration is a much more complicated procedure than a standard dental crown, so the dentist you choose should have lots of prior experience in making implant restorations. They should also work with an experienced surgeon and well-established implant systems.
Make sure the restoration is planned out before the implant is placed. Ideally, the surgeon and restorative dentist should plan the case out together. The restorative dentist should have input into the placement and type of implant used in order to achieve the best results.
Ask your dentist what type of abutment is being planned. Be aware that a low-cost dental implant deal may be a good indication that stock abutments are being used instead of custom abutments, as pre-fabricated stock abutments are less costly to the dentist.
Ask what type of crown the dentist is making. Depending on the area of the mouth and location of the implant, you have choices of all-ceramic crowns vs. porcelain-fused-to-metal crowns. In the smile zone, all ceramic abutments and crowns are more commonly used in the back of the mouth, titanium abutments with porcelain-fused to metal or ceramic crowns may be used.
In summary, while prefabricated abutments may be cheaper and quicker to do, they rarely provide the results that patients expect. Custom abutments are the option of choice for almost all dental implant restorations. A carefully designed custom abutment and crown are more likely to create the best environment for a healthy, functional and beautiful smile.
Dr. Doray is a member of the Academy of Osseointegration as well as a fellow in the Academy of General Dentistry and an accredited member of the American Academy of Cosmetic Dentistry. She is known nationally as a top reconstructive and cosmetic dentist with over thirty years of experience in advanced restorative and implant dentistry. If you are considering dental implants, contact the office of Pamela Doray, DMD to schedule a consultation.
